Goede prijs  online

details van de producten

Created with Pixso. Huis Created with Pixso. Producten Created with Pixso.
Biomimetische tandheelkundige esthetiek
Created with Pixso. Zirconia Tandheelkundige Kroon Case Study Global Lab Outsourcing - Joydentalab

Zirconia Tandheelkundige Kroon Case Study Global Lab Outsourcing - Joydentalab

Merknaam: Joydenta
MOQ: Flexibele
Leveringstermijn: 4 werkdagen
Betalingsvoorwaarden: T/T paypal
Gedetailleerde informatie
nieuwe website:
www.joydenta-lab.com
nieuwe website:
https://joydenta-lab.com/en/
Verpakking Details:
Bubbelwrap met doos
Levering vermogen:
500 gevallen / dag
Markeren:

Zirkonium protheses met natuurlijke uitstraling

,

Tandheelkundige circonie valse tanden

,

Zirkoniumprothesen voor tandvervanging

Productomschrijving

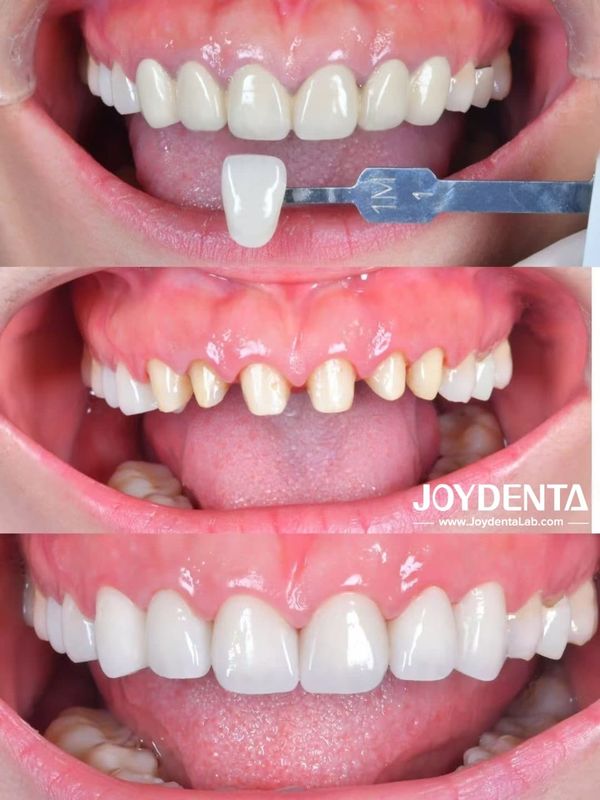
Onderzoek naar het geval van Zirconia-tandheelkundige kronen Premium Global Outsourcing door Joydentalab

Deze klinische zaak is een secundaire restauratie voor een patiënt die eerder metalen keramische kronen kreeg.en esthetisch geavanceerde oplossingDe tandheelkundige kliniek heeft detandkronen van zirconiasysteem vervaardigd door:JOY Tandheelkundig Lab, en het resultaat is een duidelijke stap vooruit in zowel precisie als esthetische prestaties.

Zoals op de afbeeldingen te zien is, is het verschil tussen de oude prothese en de nieuwe zirconia-restauratie aanzienlijk.tandkronen van zirconialevert:

  • Verbeterde kleurnauwkeurigheid en doorschijnendheid

  • Een verfijnde anatomische vorm die harmonieus aansluit bij de natuurlijke tanden van de patiënt

  • Superieure langdurige sterkte en stabiliteit

  • Biocompatibele materialen voor gevoelige patiënten

Zowel de tandheelkundige kliniek als de patiënt zijn tevreden met het eindresultaat.Versterkt waarom zirconia een van de meest vertrouwde materialen blijft in de moderne restauratieve tandheelkunde.


Waarom wereldwijde tandheelkundige laboratoria JOY kiezen

Als eenpremium tandheelkundig laboratoriumgespecialiseerd in internationale outsourcing,JOY Tandheelkundig LabHet programma ondersteunt tandheelkundige laboratoria in deVerenigde Staten, Australië en het Verenigd Koninkrijkmet zirconieoplossingen van hoge precisie.

Onze voordelen zijn:

  • Digitale ontwerpconsistentie door middel van geavanceerde CAD/CAM-workflows

  • Hoogsterke meerlagige zirconia materialen

  • Stabiele levertijd voor wereldwijde klanten

  • Strikte kwaliteitscontrole om voorspelbare resultaten te garanderen

  • Professionele communicatie voor laboratoriumsamenwerking op lange afstand

Of u nu eenvoudige behuizingen, circonia bruggen of implantaten nodig heeft, wij bieden betrouwbare productieondersteuning op maat van wereldwijde tandheelkundige laboratoria.


Partner met een betrouwbaar wereldwijd outsourcinglaboratorium

Als uw kliniek of laboratorium op zoek is naar een betrouwbaretandkronen van zirconiavervaardiging,JOY Tandheelkundig Lab Biedt productieprecisie, natuurlijke esthetiek en uitstekende internationale service.

We verwelkomen tandheelkundige laboratoria over de hele wereld om samen te werken en hun herstelresultaten te verbeteren met hoogwaardig Zirconia vakmanschap.

Goede prijs  online

Details Van De Producten

Created with Pixso. Huis Created with Pixso. Producten Created with Pixso.
Biomimetische tandheelkundige esthetiek
Created with Pixso. Zirconia Tandheelkundige Kroon Case Study Global Lab Outsourcing - Joydentalab

Zirconia Tandheelkundige Kroon Case Study Global Lab Outsourcing - Joydentalab

Merknaam: Joydenta
MOQ: Flexibele
Verpakking: Bubbelwrap met doos
Betalingsvoorwaarden: T/T paypal
Gedetailleerde informatie
Merknaam:
Joydenta
nieuwe website:
www.joydenta-lab.com
nieuwe website:
https://joydenta-lab.com/en/
Min. bestelaantal:
Flexibele
Verpakking Details:
Bubbelwrap met doos
Levertijd:
4 werkdagen
Betalingscondities:
T/T paypal
Levering vermogen:
500 gevallen / dag
Markeren:

Zirkonium protheses met natuurlijke uitstraling

,

Tandheelkundige circonie valse tanden

,

Zirkoniumprothesen voor tandvervanging

Productomschrijving

Onderzoek naar het geval van Zirconia-tandheelkundige kronen Premium Global Outsourcing door Joydentalab

Deze klinische zaak is een secundaire restauratie voor een patiënt die eerder metalen keramische kronen kreeg.en esthetisch geavanceerde oplossingDe tandheelkundige kliniek heeft detandkronen van zirconiasysteem vervaardigd door:JOY Tandheelkundig Lab, en het resultaat is een duidelijke stap vooruit in zowel precisie als esthetische prestaties.

Zoals op de afbeeldingen te zien is, is het verschil tussen de oude prothese en de nieuwe zirconia-restauratie aanzienlijk.tandkronen van zirconialevert:

  • Verbeterde kleurnauwkeurigheid en doorschijnendheid

  • Een verfijnde anatomische vorm die harmonieus aansluit bij de natuurlijke tanden van de patiënt

  • Superieure langdurige sterkte en stabiliteit

  • Biocompatibele materialen voor gevoelige patiënten

Zowel de tandheelkundige kliniek als de patiënt zijn tevreden met het eindresultaat.Versterkt waarom zirconia een van de meest vertrouwde materialen blijft in de moderne restauratieve tandheelkunde.


Waarom wereldwijde tandheelkundige laboratoria JOY kiezen

Als eenpremium tandheelkundig laboratoriumgespecialiseerd in internationale outsourcing,JOY Tandheelkundig LabHet programma ondersteunt tandheelkundige laboratoria in deVerenigde Staten, Australië en het Verenigd Koninkrijkmet zirconieoplossingen van hoge precisie.

Onze voordelen zijn:

  • Digitale ontwerpconsistentie door middel van geavanceerde CAD/CAM-workflows

  • Hoogsterke meerlagige zirconia materialen

  • Stabiele levertijd voor wereldwijde klanten

  • Strikte kwaliteitscontrole om voorspelbare resultaten te garanderen

  • Professionele communicatie voor laboratoriumsamenwerking op lange afstand

Of u nu eenvoudige behuizingen, circonia bruggen of implantaten nodig heeft, wij bieden betrouwbare productieondersteuning op maat van wereldwijde tandheelkundige laboratoria.


Partner met een betrouwbaar wereldwijd outsourcinglaboratorium

Als uw kliniek of laboratorium op zoek is naar een betrouwbaretandkronen van zirconiavervaardiging,JOY Tandheelkundig Lab Biedt productieprecisie, natuurlijke esthetiek en uitstekende internationale service.

We verwelkomen tandheelkundige laboratoria over de hele wereld om samen te werken en hun herstelresultaten te verbeteren met hoogwaardig Zirconia vakmanschap.